
Dentures
Missing teeth can take a serious toll on your quality of life by compromising your appearance and making eating and speaking a challenge.
Dentures can replace several missing teeth or an entire dental arch, restoring the function and appearance of your smile.
So why should you choose dentures?

Dentures Make It Easier to Eat, Speak, and Smile.
Take Years off Your Appearance
Designed to look like natural teeth, dentures can be customized to complement the shape of your face and improve the appearance of sunken cheeks and puckered lips.
Enhance Your Quality of Life
Dentures can renew your ability to eat comfortably, enunciate clearly, and chew properly. With a fully functional smile, you can enjoy life more completely.
Benefit from the Stability of Implants
You can elect to secure your dentures with dental implants. This solution keeps your dentures firmly in place and prevents the jawbone recession that occurs after tooth loss.
Tooth Loss Affects Many Older Adults
A Range of Conditions Can Affect Your Candidacy
Bone Density
For an implant-supported restoration, you must have enough jawbone tissue to support dental implants. A bone graft can restore lost tissue if you have experienced jawbone recession. Even for a traditional restoration, your doctor may recommend pre-prosthetic surgery to prevent issues and make your restoration fit more comfortably.Gum Disease
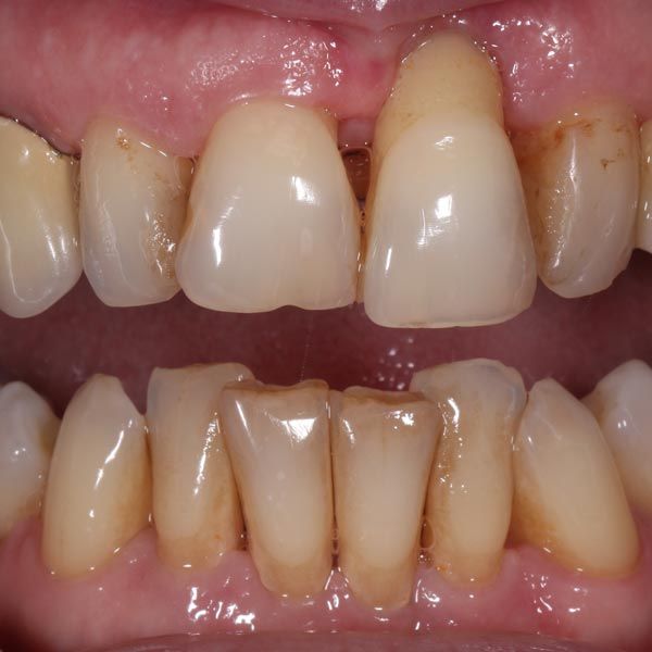
While early stages of gum disease can be easily treated, the condition can reach a point at which the solution may require tooth extraction. Once the teeth are removed, your gums can heal and a denture can replace the extracted teeth. You must be free of gum disease and tooth decay prior to receiving dentures.Feelings of Self-Consciousness
If an incomplete smile is making you feel self-conscious, you should speak to your dentist about dentures. A restoration can improve both the appearance and function of your smile and allow you to feel more confident.New Technology Makes Getting Dentures Even Easier
Many dentists now use advanced tools to take digital impressions of your smile. These systems eliminate the need for messy, uncomfortable impressions taken using putty and allow your dentist to customize your denture with greater precision. Some offices even have in-house milling systems which can fabricate your restoration on-site, making treatment more convenient.
From Planning to Placement
The process for receiving a denture varies depending on whether your restoration will be supported by dental implants. While implants can add several months to your overall treatment timeline, they provide significant benefits that many patients feel are worth the extra time.
It Can Take a Few Weeks to Become Accustomed to Dentures
Your new restoration may feel odd for a few weeks while your cheeks and tongue adapt. You may also experience increased saliva flow, which should diminish as you adjust. With a traditional denture, you may notice some minor irritation or soreness.
You should eat soft foods cut into small pieces so you can get used to the new dentures. Be cautious with hard or hot foods, which could damage your dentures. You may need to practice common functions, such as speaking, with your dentures for a few weeks until you become comfortable with your appliance.
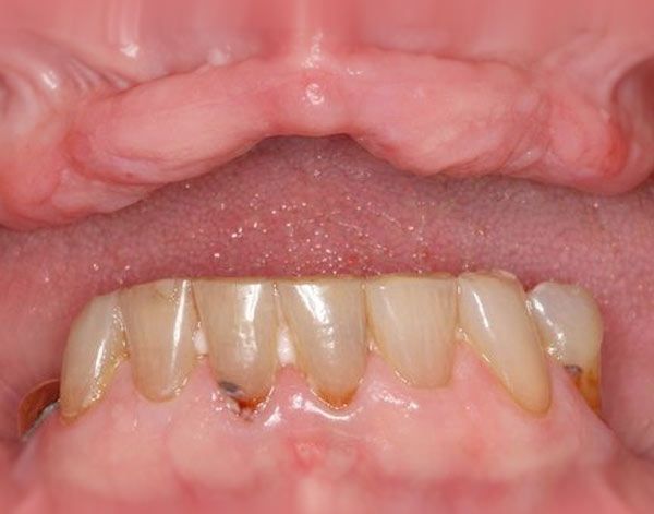
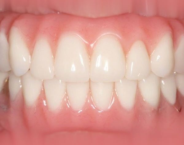
Dentures Can Fully Restore Your Smile


Dentures Can Make a Big Difference in Your Appearance
Replacing decayed, damaged, or missing teeth with dentures can create a dramatic change in your appearance. In addition, dentures can provide support for your facial tissues, which can give your features a healthier and more youthful look.
Proper Care Helps Dentures Last Longer
"Thorough daily cleaning and routine professional follow-up can prolong the life and comfort of dentures..." Clare Van Sant, RDH, BS
The Cost of Dentures
The average cost of a single traditional denture ranges from $1275 to $2750.
With several options to choose from in terms of materials and other features, you can select the type of denture that suits your budget, lifestyle, and personal goals. Premium materials such as zirconia and options such as dental implants will increase the cost of your dentures. Most insurance plans will cover at least a portion of the cost.
Dentures Can Cost as Little as $300 Or More than $13,000 for a Single Arch
From Acrylic to Zirconia
Acrylic is the cheapest material available ($300 to $500 per arch), but it is also the least durable. Porcelain is stronger and more realistic-looking, but can cost from $750 to $2,000 or more per arch. Zirconia is the very strongest material, costing more than $13,000 per arch.
Dental Implants
For the right candidates, implants make dentures far more stable and beneficial, but they also inflate the price. Placing a single implant costs $1,600 to $2,200, and dentures can require four to eight implants per arch.Preparation
You may require preparatory treatments before receiving dentures, each of which will add to the total cost. A bone graft can cost $300 to $800 per area. Gum disease treatment can cost $500 to $10,000. Extractions can cost $75 to $4,000, depending on the complexity of the case.The Benefits of Premium Dentures
When it comes to dentures, the more you are willing to spend, the more benefits you are likely to experience. While you may not need the very strongest denture on the market, paying for greater durability or a more natural-looking result may be worth the added investment.
| Type | Cost per Arch | Durability | Aesthetics |
|---|---|---|---|
| Acrylic | $300 to $500 | Wears quickly | Acceptable |
| Porcelain | $750 to $2,000+ | More durable, can break if dropped | Can be made to look highly realistic |
| Zirconia | $13,000+ | Can withstand more than 7 times the average person's bite force | Can be made to look highly realistic |
Explore Your Options Today
Don't let tooth loss ruin your smile. Dentures can replace missing teeth and last for five years or more with proper care. Schedule an exam today to find out how you can live better with dentures.








